Valve ASSIST 2 zur Unterstützung bei der Transkatheter-Aortenklappenimplantation (TAVI)

product-product-categories-Interventional - 2016-valve_11.jpgPlanung

Die automatisierte Aortensegmentierung und Klappendefinition machen die genaue Klappendimensionierung für jeden zugänglich.

product-product-categories-Interventional - 2016-valve_12.jpgFührung

Die um die Funktion Calcification Enhancement (Kalzifizierungshervorhebung) erweiterte 3D-Fusionsführung sorgt für eine verbesserte Darstellung bewegter Strukturen mit Kontrast.

product-product-categories-Interventional - 2016-valve_13.jpgBeurteilung

Behalten Sie den Blutrückstrom dank hervorragender Kontrastvisualisierung immer im Blick.

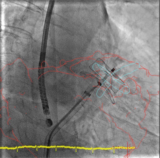
Valve ASSIST 2 zur Unterstützung bei Verschlüssen des linken Herzohrs

product-product-categories-Interventional - 2016-valve_21.jpgPlanung

Segmentieren Sie die 3D-CT-Bilder des linken Vorhofs, um die Intervention präzise zu planen, einschließlich:

- Morphologie
- Ideale Positionierungszone
- Optimale Prothesengröße
product-product-categories-Interventional - 2016-valve_22.jpgFührung

Die 3D-Fusion hilft, jeden Schritt zuverlässig zu führen, angefangen bei der transseptalen Punktion bis hin zur Implantation des Klappenersatzes. Erhebliche Verkürzung der Verfahrenszeit bei gleichzeitiger Verringerung von Kontrastmittel und Strahlendosis.

product-product-categories-Interventional - 2016-valve_23.jpgBeurteilung

Sobald der Klappenersatz eingesetzt ist, muss die Position der Prothese durch Echokardiografie bestätigt und ihre Komprimierung beurteilt werden, bevor die Freigabe erfolgt.3

Klinische Fälle und Veröffentlichungen

Broschüre

Valve ASSIST 2 and VIVIDTM E95 Utilizing advanced imaging to Plan, Guide, and Assess Left Atrium Appendage Closure procedures.

Dr. Garot and Dr. Cormier. Institut Cardiovasculaire Paris Sud, Massy (France)

Präsentation

Benefits of Valve ASSIST 2 for LAAC procedures

Dr. Spaziano, McGill University Health Center, Montreal, Canada

product-product-categories-Intervantional - 2016-article_article.jpg

Wissenschaftliche Publikation

Valve ASSIST 2 : Value of Image Fusion Coronary angiography for the detection of CABG

J. Plessis et al.

J Am Heart Assoc. 2016 Jun 10;5(6). pii: e002233. doi: 10.1161/JAHA.115.002233.
product-product-categories-Intervantional - 2016-article_article.jpg

Wissenschaftliche Publikation

TCT-624 Novel Integrated 3D Multi-Detector Computed Tomography and Fluoroscopy Fusion for Left Atrial Appendage Occlusion Procedures

A. Roy et al.

Catheter Cardiovasc Interv 2017;Mar 17, DOI:10.1002/ccd.26998

1. Valve ASSIST 2-Lösung umfasst TAVI Analysis sowie HeartVision 2 und erfordert die AW-Workstation mit Volume Viewer und Volume Viewer Innova. Die Anwendungen sind separat erhältlich.

2. Novel Integrated 3D Multi-Detector Computed Tomography and Fluoroscopy Fusion for Left Atrial Appendage Occlusion Procedures - Publication in JACC, Volume 68, Issue 18_S, November 2016 https://content.onlinejacc.org/article.aspx?articleid=2576729

3. Valve ASSIST 2 enthält keine Ultraschallbildgebung.

JB00855DCH