• Merkmale

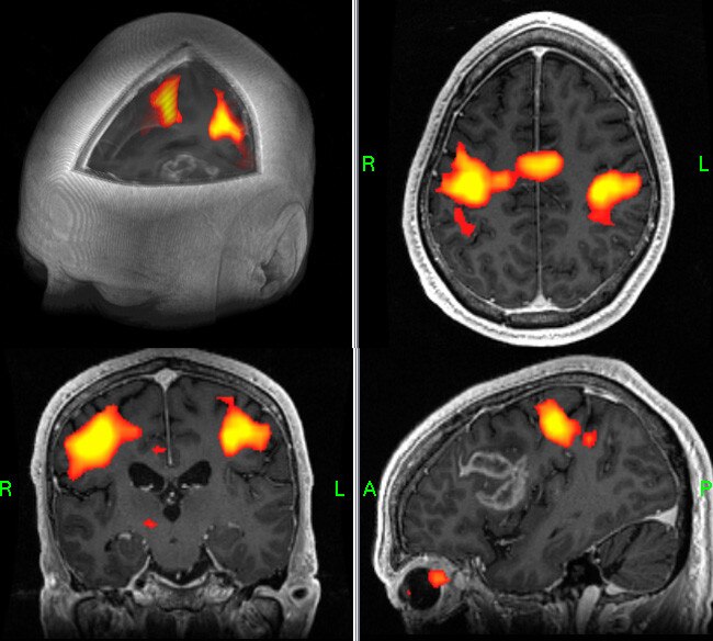
    • BrainWave PA ermöglicht das interaktive Anzeigen und Bearbeiten von fMRT-Daten. Die Anwendung kann auf dem Scanner oder auf einer AW-Station installiert werden.
    • Neben fMRT-Aufnahmen analysiert die Software auch volumetrische, T1-gewichtete Akquisitionen.
    • Für die fMRT-Daten gibt es folgende Verarbeitungsschritte:
      • Starre Bewegungskorrektur anhand von sechs Parametern durch Registrierung mit dem ersten Volumen
      • Räumliche Filterung
      • Segmentierung von anatomischen Daten, um die äußeren Schichten des nicht zum Gehirn gehörenden Signals zu entfernen
      • Registrierung von fMRT-Datensätzen mit dem strukturierten Datensatz
      • Berechnung von statistischen Karten mit Zuordnung von aufgabenbasierten Aktivierungen
      • Erstellung von Burnt-In-Pixel- (BIP)-Karten, auf denen das Aktivierungsareal auf dem strukturellen Scan weiß hervorgehoben wird
      • Berechnung von DTI-Faserverläufen (Option von BrainWave Fusion)
    • Auf dem strukturellen Bild mit 2D- oder 3D-Darstellung überlagerte Anzeige von funktionellen Daten. Einfügen von Beschriftungen oder Ändern der Farbe und Opazität
    • BrainWave Fusion (Option) ermöglicht die Anzeige von Faserverläufen in der weißen Hirnsubstanz zusammen mit Funktionsdaten auf einem hochauflösenden anatomischen Bild.
    GE Healthcare BrainWave

Systemvoraussetzungen

Verwendungsbereiche

Verwandte Inhalte

Weitere Bildgebungssoftware nach Modalität anzeigen

Erweiterte Visualisierung für CT

Advanced Visualization für die interventionelle Bildgebung

Erweiterte Visualisierung für PET

Weitere Bildgebungssoftware nach klinischem Fachbereich anzeigen

Erweiterte Visualisierung für Kardiologie

Erweiterte Visualisierung für Neurologie

Erweiterte Visualisierung für Onkologie

Erweiterte Visualisierung für RT

Advanced Visualization für Gefäßstudien